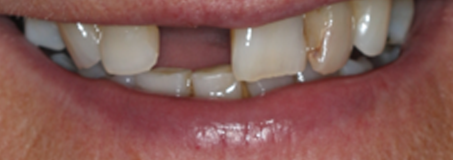
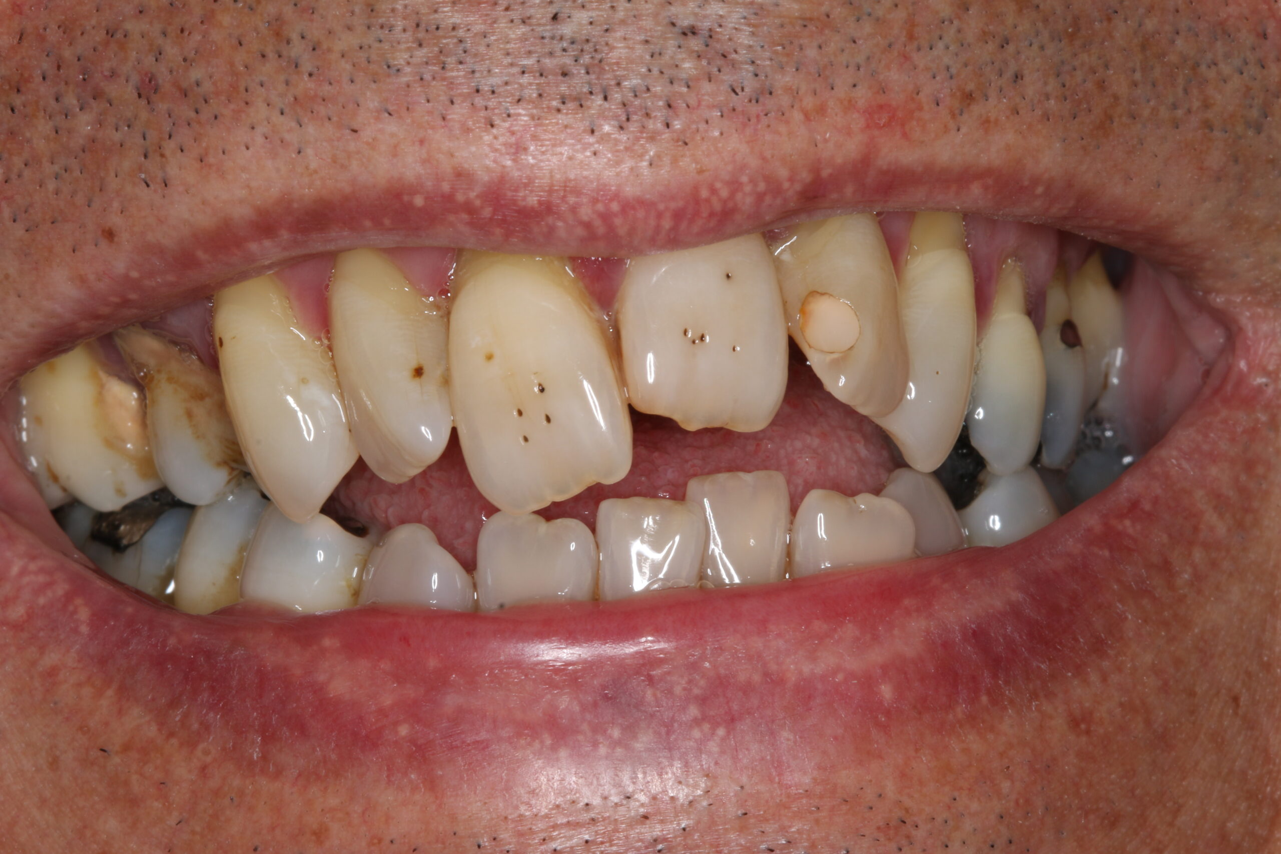
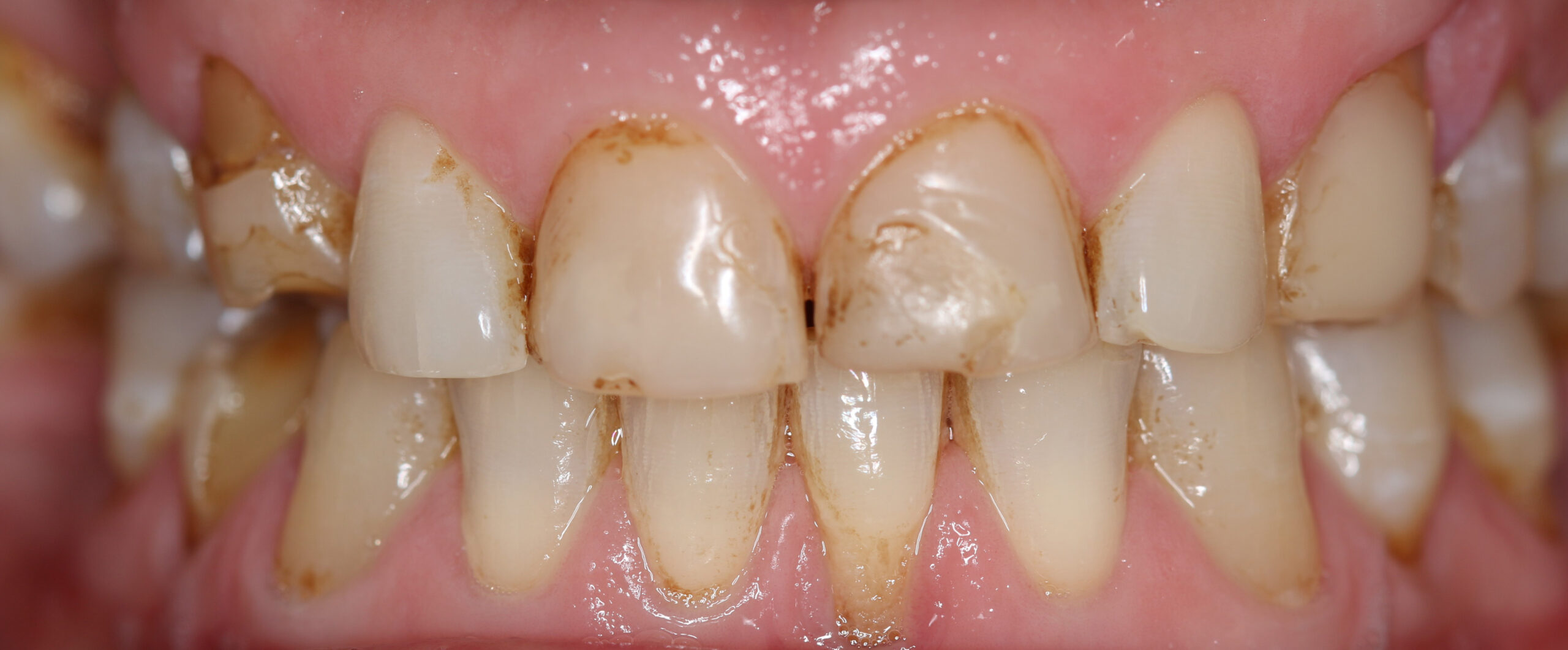
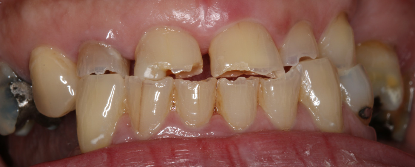
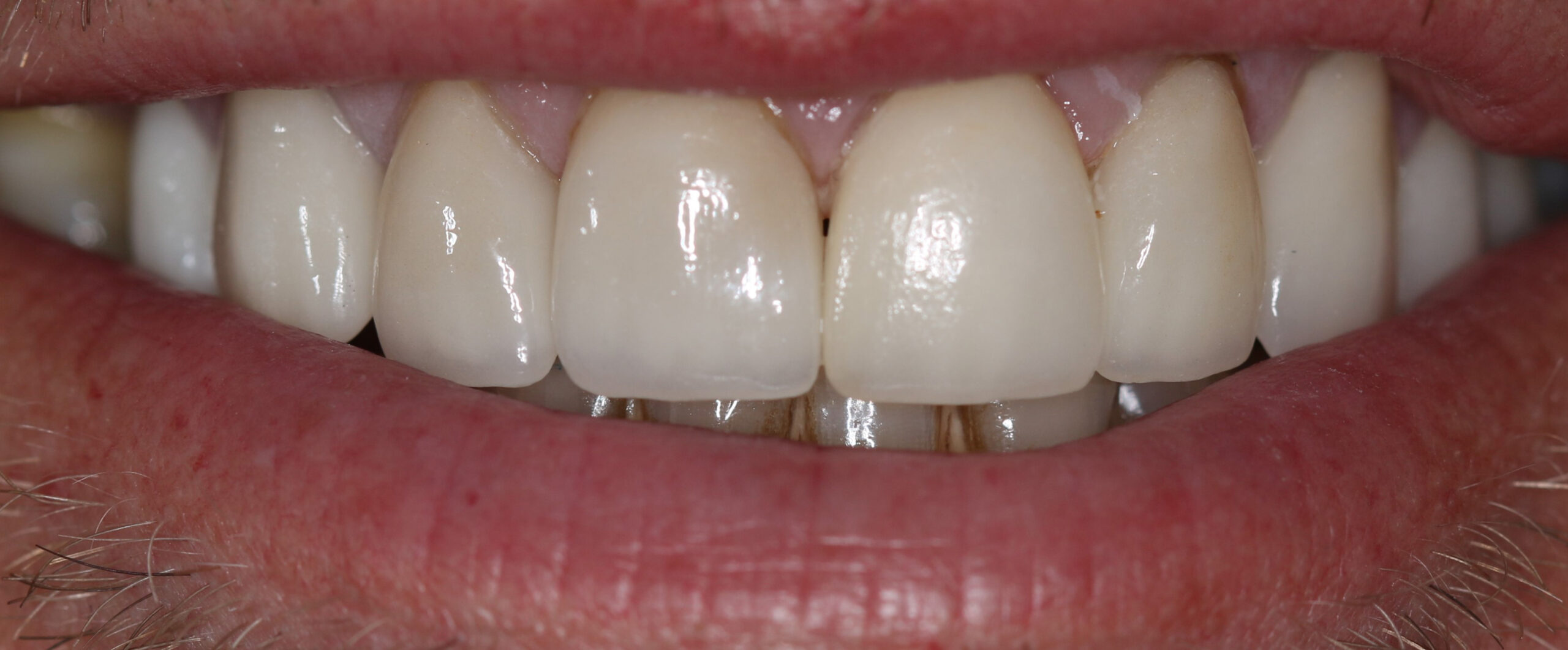
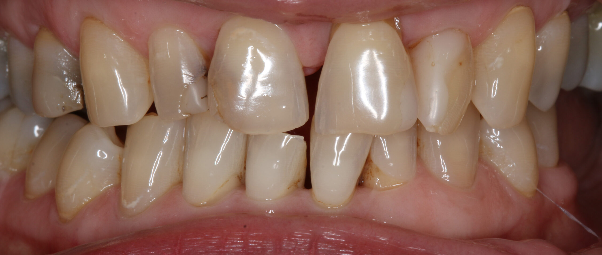
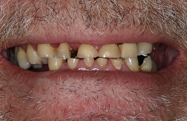
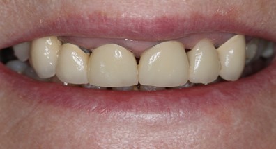
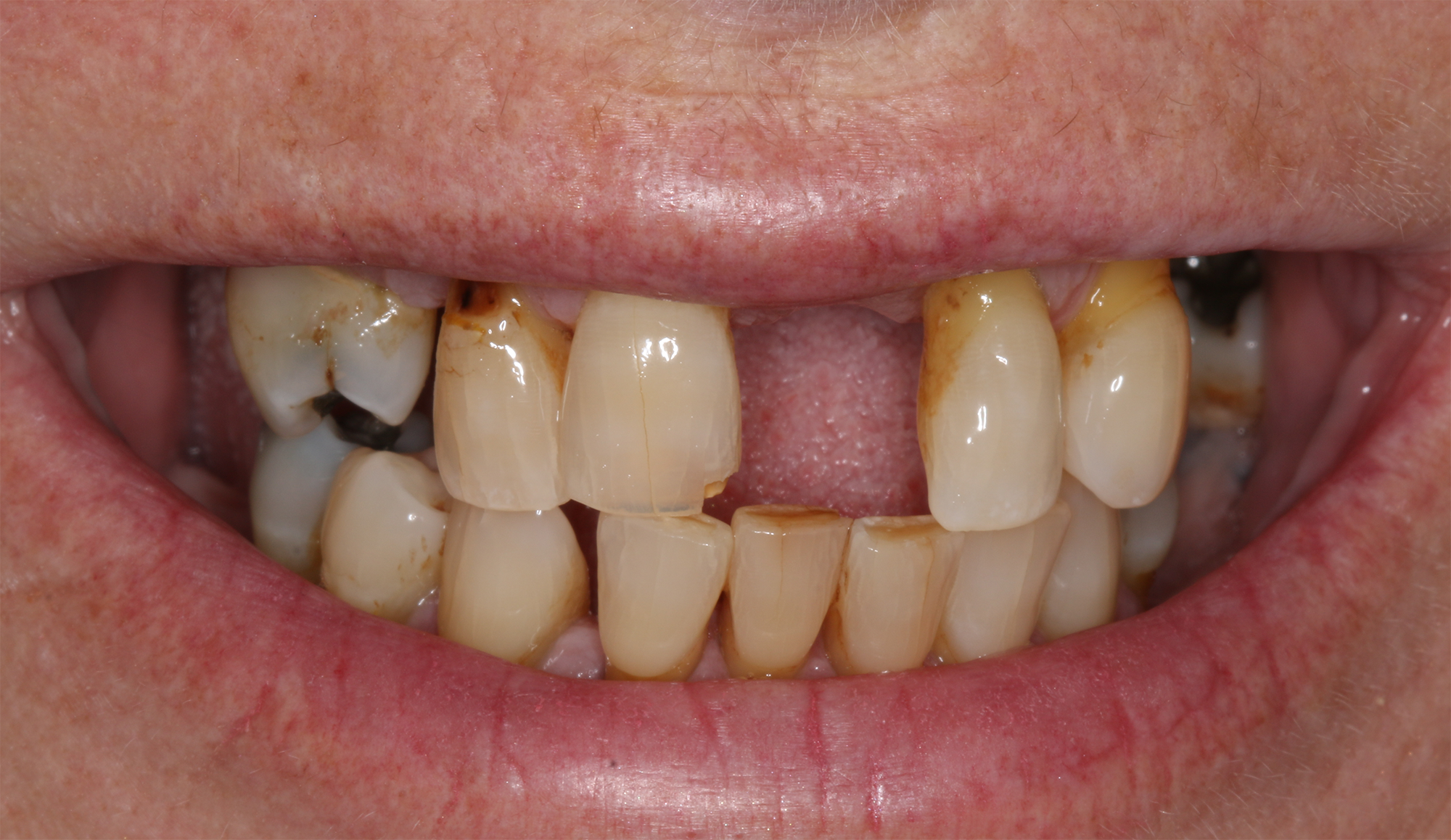
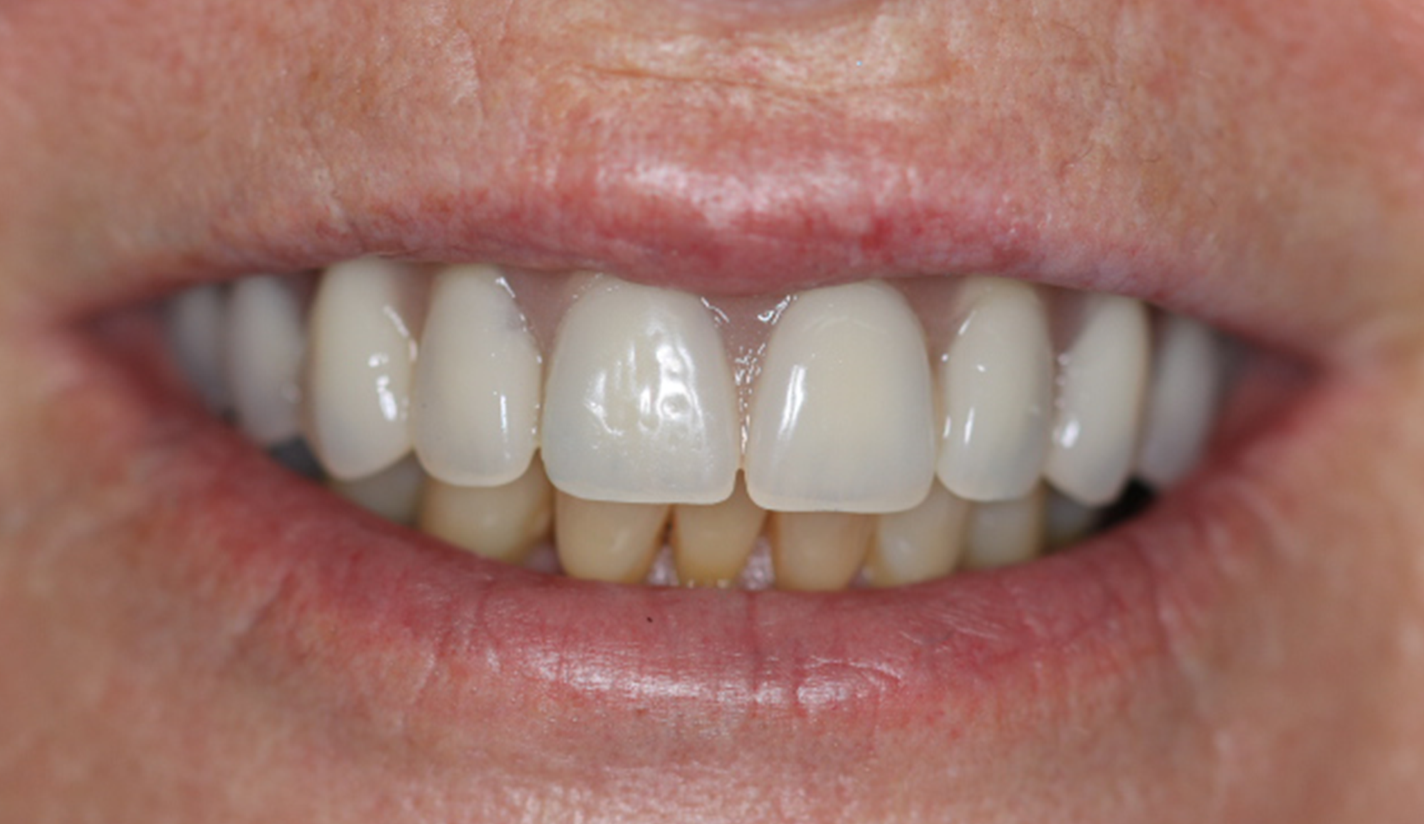
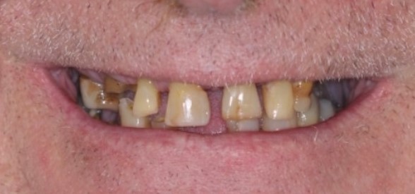
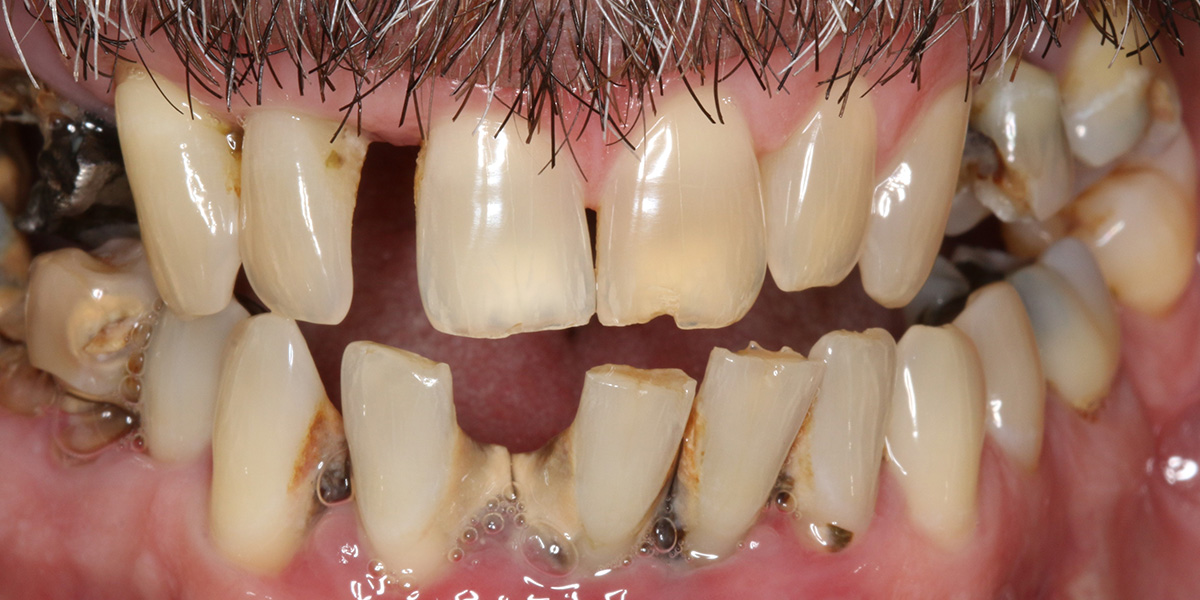
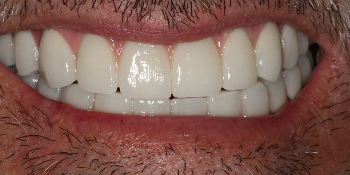
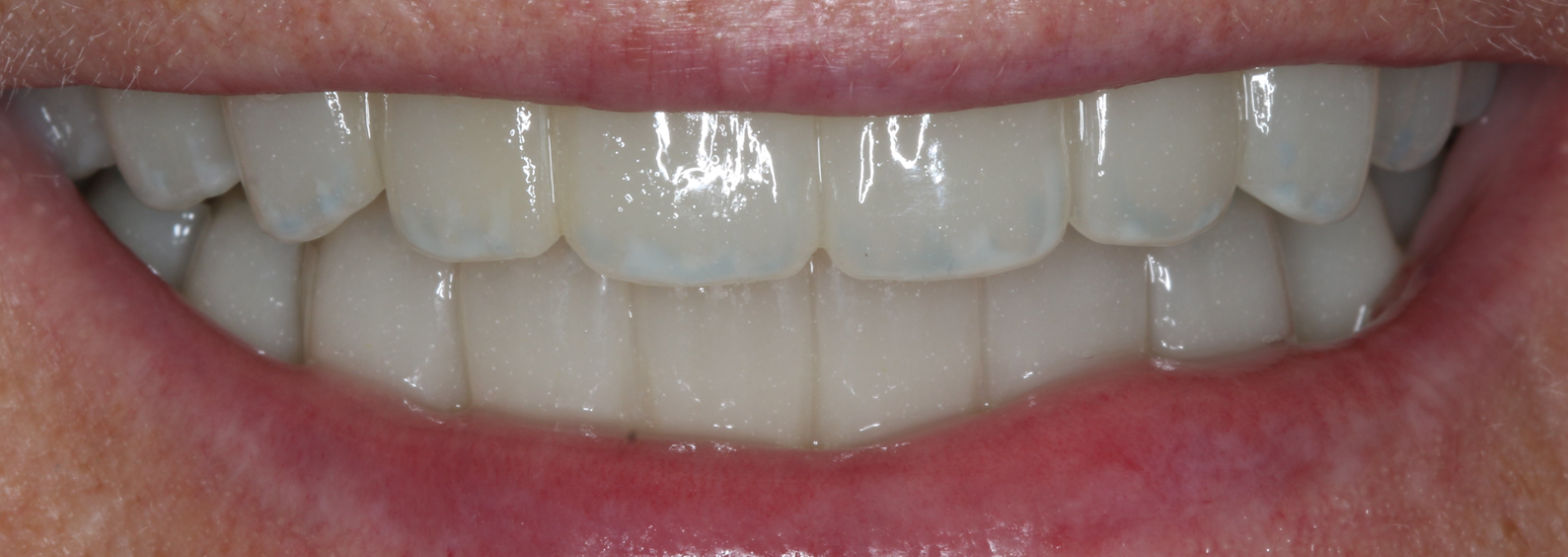
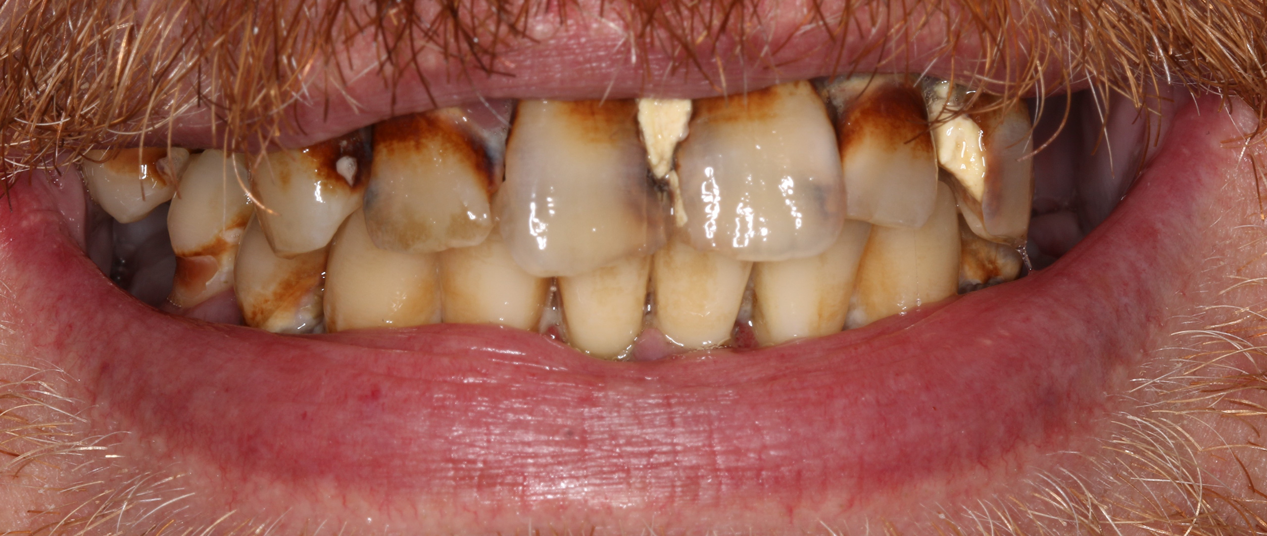
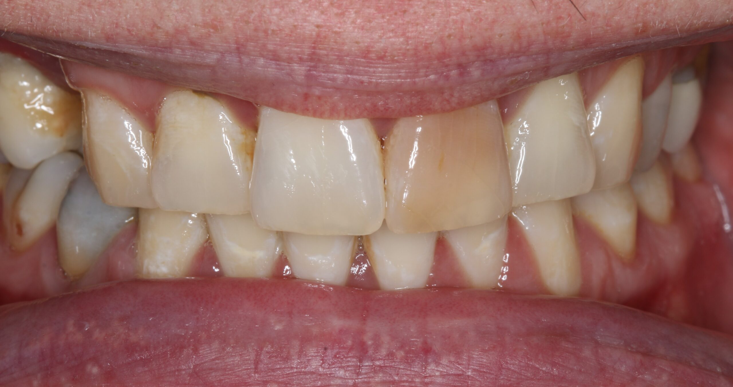
Smile Gallery

Our Services

We offer a wide range of services to our clients

implant

All on 4 Implants

The revolutionary way to a beautiful and permanent new smile.



 Read more

piggy logo

Emergency dental care

Same day appointments available to get you out of pain



 Read more

diamond

State of the art surgeries

Digital X-rays to 3D computer technology, our modern surgeries are well-equipped.



 Read more

 View all of the services we offer
cqc logo dentist finder logo british academy of cosmetic dentistry logo bda logo